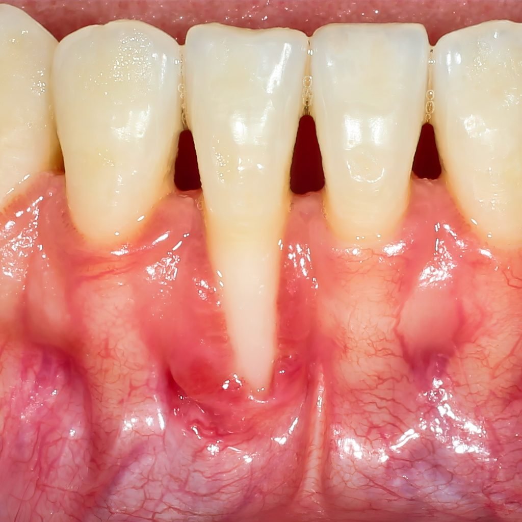
«Mis encías se están retrayendo ¿Hay un tratamiento?»

¿Mis encías se están retrayendo? Descubre el tratamiento con el Dr. Alfredo Jerez

En este video, el Dr. Alfredo Jerez explica las causas de la retracción de encías y los tratamientos disponibles para detenerla, restaurar la salud de tus encías y prevenir futuros problemas.

Más Noticias

«Antes y después del tratamiento»

Antes y después del tratamiento Las manos expertas de la Dra. Loreto Ortiz hacen posible recuperar...

«Acople correcto»

Descubre las señales de un acople correcto al momento de amamantar El momento de amamantar a tu hijo...

Más Testimonios

«Testimonio Catalina Ortiz»

Testimonio de Catalina Ortiz: Mi experiencia con el tratamiento dental En este video, Catalina Ortiz...

«Testimonio Madre de Renato»

Testimonio de Madre de Renato Mi experiencia con el tratamiento dental En este video, la madre de...
Scroll al inicio